Book Video Consultation

Book Video Consultation

Stay Home

No Waiting in lines

Audio/Video Call

PMC Verified Doctors

Talk to General Physician on COVID-19 Patient

person-avatar

Asking For Someone else, Father, Male, 69 Years old, Karachi

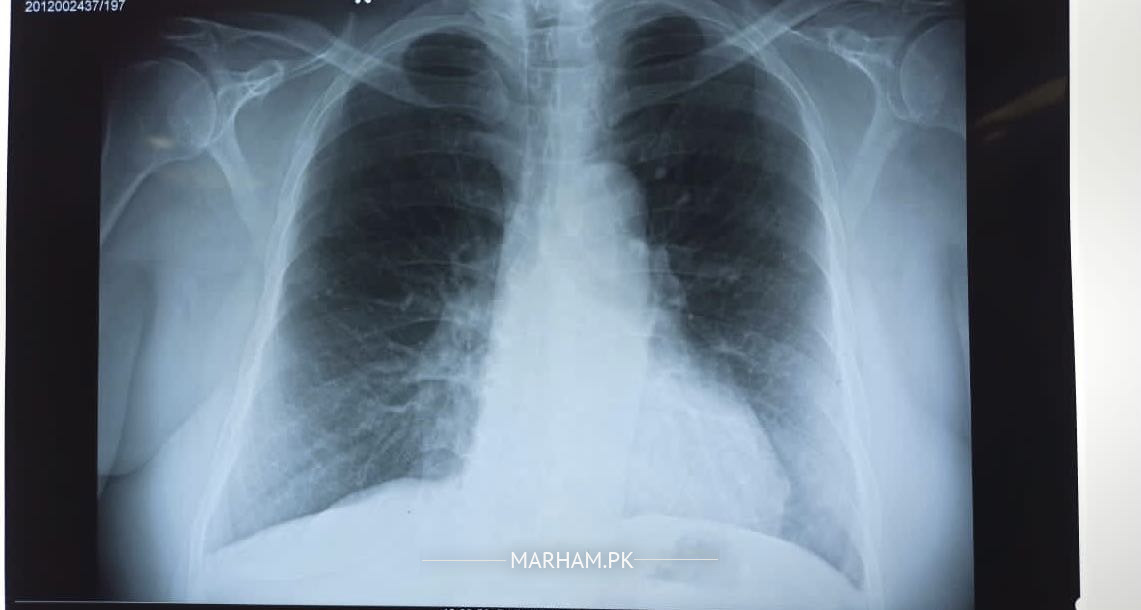
Patient developed symptoms 10 days ago with sore throat, a little fever on and off. Also having productive cough. COVID PCR was done 3 days ago with positive result. Oxygen saturation remains around 96-97. Attaching some xray and other tests requested. Please advise if any other action needed. current prescription attached. Previously before COVID test, he had been prescribed with Deltacort which is being continued by doctor till its full tenure

Member of Marham-Forum

CBC is within the normal dose of deltacort are you taking? Have you taken any antibiotic? Start taking tablet myteca 5 mg daily at night,tablet Rovista at reason for starting Rovista is not to lower your lipid counts, in recent studies it has been shown to help control the inflammatory stages of COVID. Any other symptoms of late?


0

0

Member

And why was ATEM nebulization prescribed? did the Patient have any wheezing?

5 years ago

Member

Post Owner


He used Moxifloxacin 400mg initially for 5 days. Deltacort 5mg (2 each twice daily for 3 days, then 1 each twice daily for 3 days. Still using it). Atem was asked to be used with nebulizer only when feeling congestion, else nebulize with normal saline only

5 years ago

Attach Photo here: