Book Video Consultation

Book Video Consultation

Stay Home

No Waiting in lines

Audio/Video Call

PMC Verified Doctors

Talk to General Physician on Covid Breathing Query

person-avatar

Asking For Sister, Female 23, Islamabad

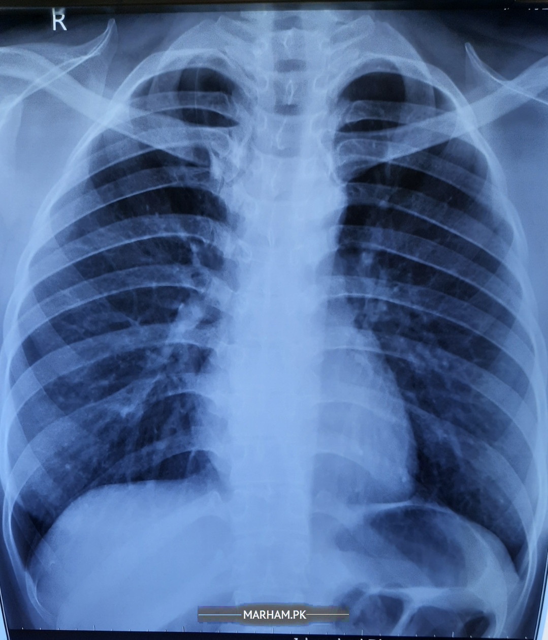
My sister's covid came positive on 4 June and from 6 to 9 June she had breathing issues but oxygen saturation was OK (97 to 99). Currently she is having fever once in 24 hrs with body aches. Do we need further chest examination like x Ray etc?? We are having fear that covid might not be affecting lungs silently,. Please advise. Pl note she is in isolation at home.

Internal Medicine Specialist in Sialkot - Assoc. Prof. Dr. Hammad Ur Rehman Bhatti

yes ,go for chest x ray


0

0

Member of Marham-Forum

go for chest x ray immediately


0

0

Member of Marham-Forum

Just done with x Ray (attached). Please some doc can comment on it


Member of Marham-Forum

X ray


Psychologist in Islamabad - Mr. Abdullah

Mr. Abdullah - Psychologist

B.S HONS (Psychology), Diploma (Clinical Psychology) | Islamabad

review-stars

4 Positive Reviews

get some fragrance and bring it close to her nose and see if she can smell it properly or not and give panadol cf 3times and good proper meal and also fruits so that her blood immune system may gets strong and with panadol cf the fever and aches may go.


0

0

Attach Photo here: