Book Video Consultation

Book Video Consultation

Stay Home

No Waiting in lines

Audio/Video Call

PMC Verified Doctors

Talk to General Physician on Covid Cough

person-avatar

Asking for Mother, Female, 73 years old, Rawalpindi

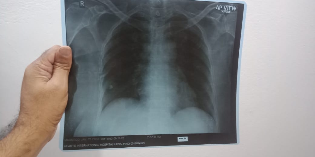
Aoa. It's my mother's 12th day of symptoms. She is Corona positive. M attaching her initial x-ray report. Her oxygen saturation remains 95 plus. Respiratory rate 23/mint. Fever is low grade. I want to know cough syrup for her. Cough her time nai Hoti. Per jab Hoti ha 1 2 mint rehti hai.

General Physician in Lahore - Dr. Altaf Ahmad Cheema

Dr. Altaf Ahmad Cheema - General Physician

MBBS , MRCGP (INT) | Lahore

review-stars

258 Positive Reviews

Syrup INVENTIVE one tablespoonful thrice daily


0

0

Member

Post Owner


Should I add dexa tabs. She is diabetic. On day 13 has fever of 102. Respiratory rate 23 . Oxygen 95 plus rehti hai. Cough is there

5 years ago

Internal Medicine Specialist in Karachi - Dr. Syed Sardar Ali

Dr. Syed Sardar Ali - Internal Medicine Specialist

MBBS, FCPS (Medicine) | Karachi

review-stars

760 Positive Reviews

plz send xray film


0

0

Member

Post Owner


Xray

5 years ago

Internal Medicine Specialist in Karachi - Dr. Syed Sardar Ali
Dr. Syed Sardar Ali - Internal Medicine Specialist

MBBS, FCPS (Medicine) | Karachi | Book Appointment

review-stars 40 Positive Reviews

plz post xray film

5 years ago

Member

Post Owner


X-ray film from day 8

5 years ago

Member

Post Owner


Can u see x-ray film. I have posted sir . Now she has 102 fever. Fever comes and goes.

5 years ago

Chest Respiratory Specialist in Peshawar - Dr. Inayat Ullah

Dr. Inayat Ullah - Chest Respiratory Specialist

MBBS, FCPS, MCPS | Peshawar

review-stars

83 Positive Reviews

It's post Covid fibrosis
Cough keliye Syp bhi Zaruri hai but she would need bronchodilators in the form of
Inhalers regularly and nebulization..
Cough Syp by the way are coferb plus, Inventive and ventolin exp


0

0

Member

Post Owner


Sir nebulise kis se kerna hai. Aur kitne ml se ?

5 years ago

Member

Post Owner


Sir oxygen saturation 97 hai. Resp rate 24/min.. d dimer 300. Ldh normal.
Serum ferritin normal
CRP 23

5 years ago

Chest Respiratory Specialist in Peshawar - Dr. Inayat Ullah
Dr. Inayat Ullah - Chest Respiratory Specialist

MBBS, FCPS, MCPS | Peshawar | Book Appointment

review-stars 51 Positive Reviews

Nebs with ventolin 1ml and 2ml normal Saline mix as well as atem

5 years ago

Member

Post Owner


Sir cough behter ho Rai hai inventive aur coferb se. Day 13 hai. Temp 102 hai. Oxygen saturation 95 plus hai. Panadol d hai. What should we do next

5 years ago

Member

Post Owner


Rft lft normal hein

5 years ago

Member

Post Owner


Should I give tablet dexa. It's day 13. Stats are normal. Fever of 102 and cough is present

5 years ago

Member

Post Owner


X-ray of day 8

5 years ago

Internal Medicine Specialist in Karachi - Dr. Umme Aimun

Dr. Umme Aimun - Internal Medicine Specialist

MBBS, FCPS (Medicine) | Karachi

review-stars

20 Positive Reviews

send x-ray films. no need of nebulization if Covid positive. it will not help in fibrotic lung it can help a bronchoconstricted lung to dilate


0

0

Member

Post Owner


X-ray from day 8. It's day 13 now

5 years ago

General Physician in Lahore - Dr. Altaf Ahmad Cheema

Dr. Altaf Ahmad Cheema - General Physician

MBBS , MRCGP (INT) | Lahore

review-stars

258 Positive Reviews

INVENTIVE Cough Syrup, one tablespoonful thrice daily


0

0

Member of Marham-Forum

Xray


Internal Medicine Specialist in Islamabad - Dr. Rana Ahsan Javed

Dr. Rana Ahsan Javed - Internal Medicine Specialist

MBBS, FCPS (Medicine) MRCP I,II (UK) | Islamabad

review-stars

33 Positive Reviews

please take appointment for detailed prescription


0

0

Attach Photo here: