Book Video Consultation

Book Video Consultation

Stay Home

No Waiting in lines

Audio/Video Call

PMC Verified Doctors

Talk to General Physician on Need Opinion

person-avatar

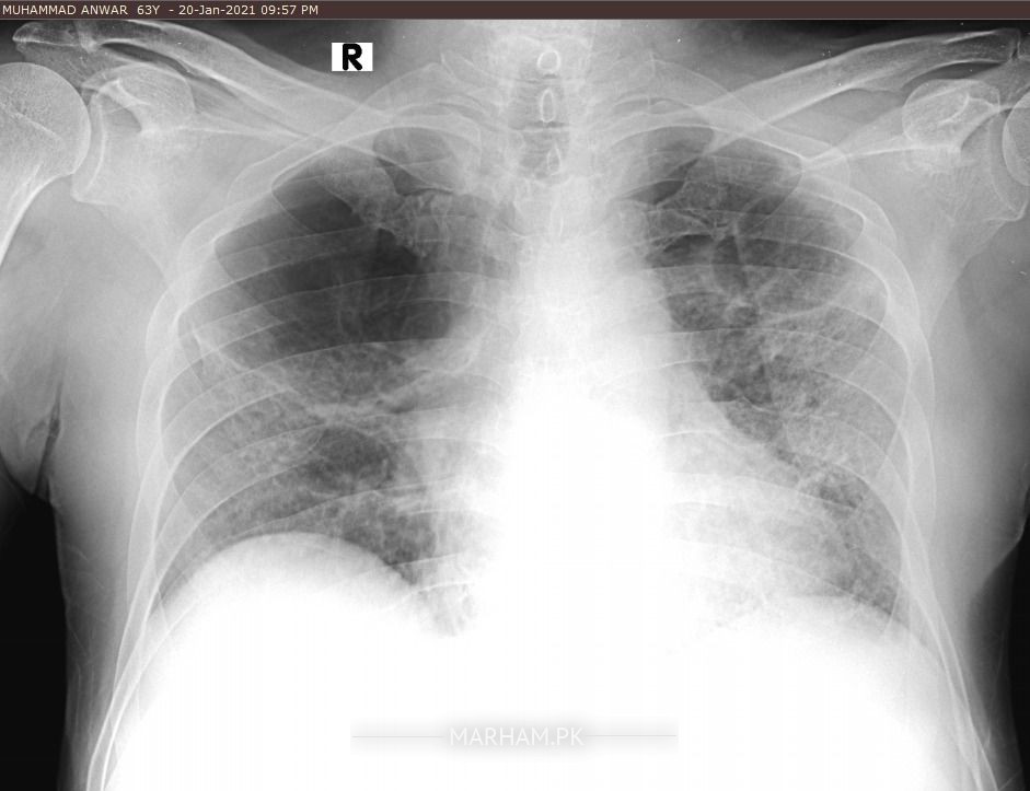
Asking For Father, Male 63, Islamabad

Dear doctors my father is in recovery phase after serious Covid19 today i have done x-ray and ECG of my father just for observe the recovery of inspiration systems re development because from last month he is still on 2ltr oxygen and staying at home with 96/97 sats rate.... Weakness ALHUMDULILLAH recover with good diet and MA SHA ALLAH clinically also very active now so plz doctor give expert opinion on it Medication vibramycine, osnate D, surbux z, loprain, steam 2/3 time in a day pouring and chest physio ongoing good oral intake. If any pulmonologist from rawalpindi Islamabad also pay attention i need your consultation. One x-ray is pervious 26Dec2020 dates mentioned plz review

Attach Photo here: