Book Video Consultation

Book Video Consultation

Stay Home

No Waiting in lines

Audio/Video Call

PMC Verified Doctors

Talk to General Physician on Over Crowded, Over Bitten Teeth

person-avatar

Asking for Self, Male, 19 years old, Karachi

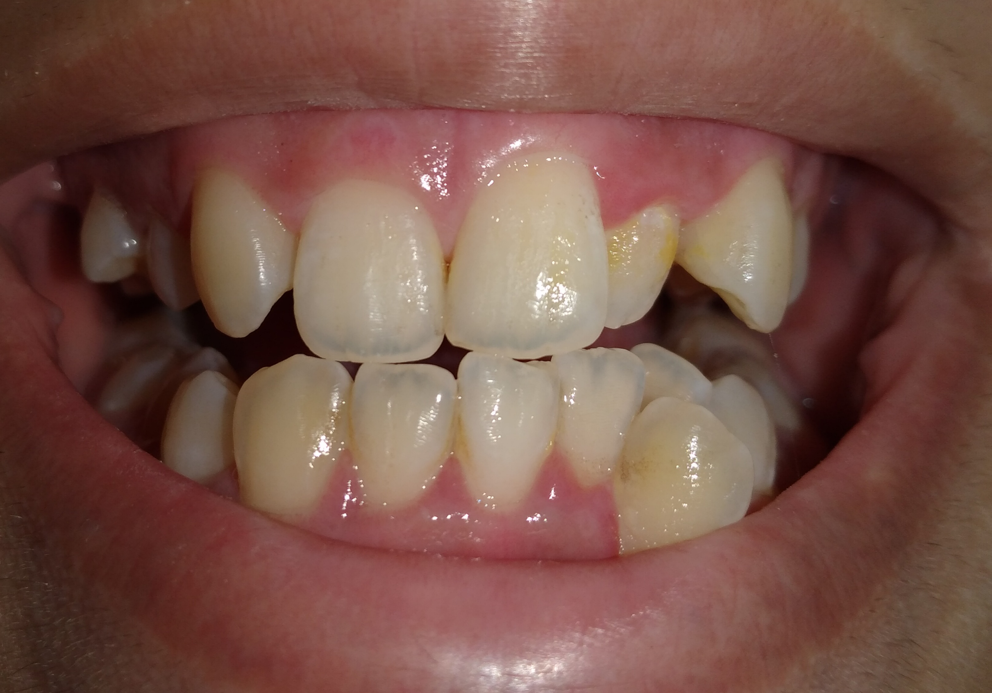
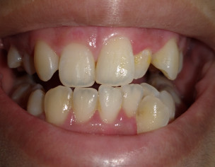
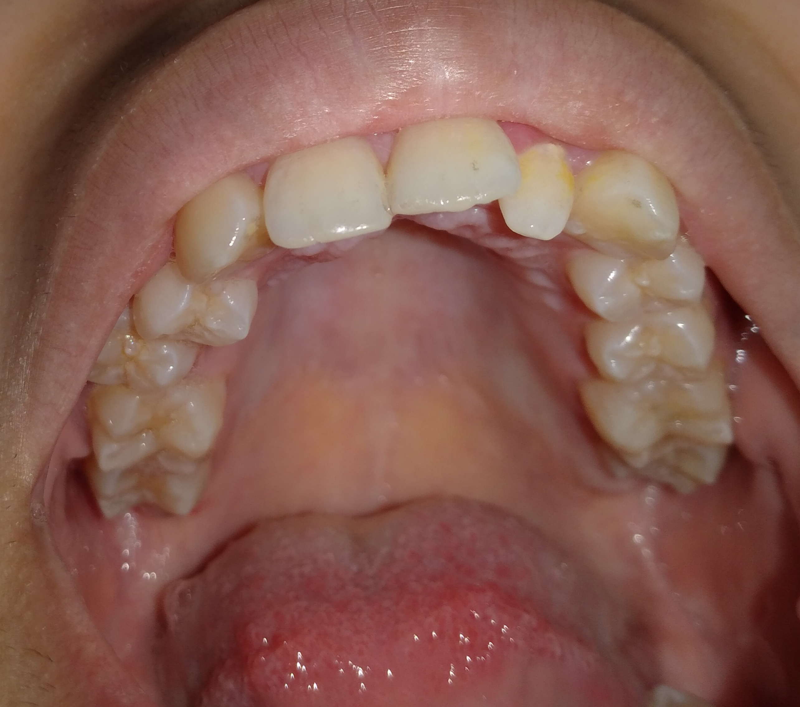
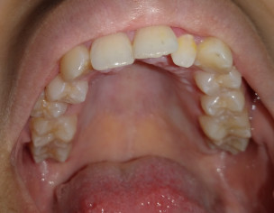
I hate the way my teeth look and I am very insecure about them. Can these teeth be fixed and look like every one else's with Clear aligners as I don't want to get wired braces because I am afraid of them. If not, then I think wired braces are my only option? Also, I think one of my front teeth is bigger than the other. Moreover, one is shorter and is backwards. At the bottom I've an extra tooth, will it be taken out? And behind it my tooth is in weird shape, what could be done for it? I'm willing to spend money and go through pain to get them look like normal teeth cause I'm really insecure!!

Internal Medicine Specialist in Karachi - Dr. Syed Sardar Ali

Dr. Syed Sardar Ali - Internal Medicine Specialist

MBBS, FCPS (Medicine) | Karachi

review-stars

759 Positive Reviews

plz go to dentist


0

0

Family Medicine in Rawalpindi - Prof. Dr. Tabassum Naveed

Prof. Dr. Tabassum Naveed - Family Medicine

MBBS, MCPS (Family Medicine), DIP (Health Professions Education), MHPE (Health Professions Education) | Rawalpindi

review-stars

95 Positive Reviews

if you are in Islamabad consult Dr Naveed bhatti orthodontist (braces) 042-32591427,


0

0

General Physician in Karachi - Dr. Waqar Ahmed Khan

contect eleven pm today Dr Waqar


0

0

Attach Photo here: