Book Video Consultation

Book Video Consultation

Stay Home

No Waiting in lines

Audio/Video Call

PMC Verified Doctors

Talk to General Physician on Possible Lung Problem

person-avatar

Asking for Other, Male, 60 years old, Karachi

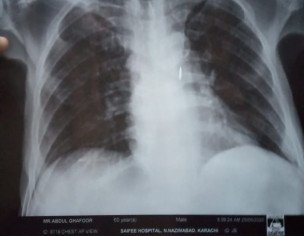
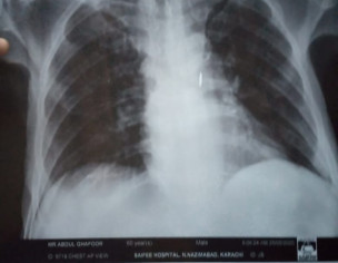
Patient was admitted in hospital due to cancer illness. He didnt have any fever or cough. The doctors performed chest X ray and determined on basis of X ray that patient has contracted coronavirus. I have attached the pictures of the X ray. Please verify if lungs are clear or not.

Member of Marham-Forum

Dear Member,
Your query has been approved and the relevant doctor has been tagged. You will receive the answer soon.

You can also discuss your issue with GP via video call for just Rs. 30. If you want to book an appointment with a GP, please visit this link:

https://www.marham.pk/online-consultation/general-physician
Thank you.

Internal Medicine Specialist in Karachi - Dr. Umme Aimun

Dr. Umme Aimun - Internal Medicine Specialist

MBBS, FCPS (Medicine) | Karachi

review-stars

20 Positive Reviews

If they are suspecting corona ask them to do PCR test. X-ray chest is not specific for Covid. CT chest with contrast will clear the quirey


0

0

Internal Medicine Specialist in Karachi - Dr. Rabia Shikoh

Dr. Rabia Shikoh - Internal Medicine Specialist

MBBS, MCPS (Medicine) | Karachi

review-stars

46 Positive Reviews

Do pcr test for Corona
Xray chest is not specifically finded Corona
Pcr will tells u actually current status of Corona thanks


0

0

Internal Medicine Specialist in Hyderabad - Dr. Musarat Baloch

Dr. Musarat Baloch - Internal Medicine Specialist

MBBS, FCPS (Medicine) | Hyderabad

review-stars

70 Positive Reviews

exclude coronavirus test


0

0

Member of Marham-Forum

not necessary that all the patients of cancer have covid 19 but now a days it is nesccery to perform covid test of every immnocompromiz pt. Cancer is one of them . X ray chest is not normal but i m not an xray specialist. All the immunocompromised are nesccery to perform this test and indications to take precautions for doctos . If the test is positive than inform the relatives.
Prof dr ghulam ali mundra walla


0

0

Attach Photo here: