Book Video Consultation

Book Video Consultation

Stay Home

No Waiting in lines

Audio/Video Call

PMC Verified Doctors

Talk to General Physician on Serve Cough

person-avatar

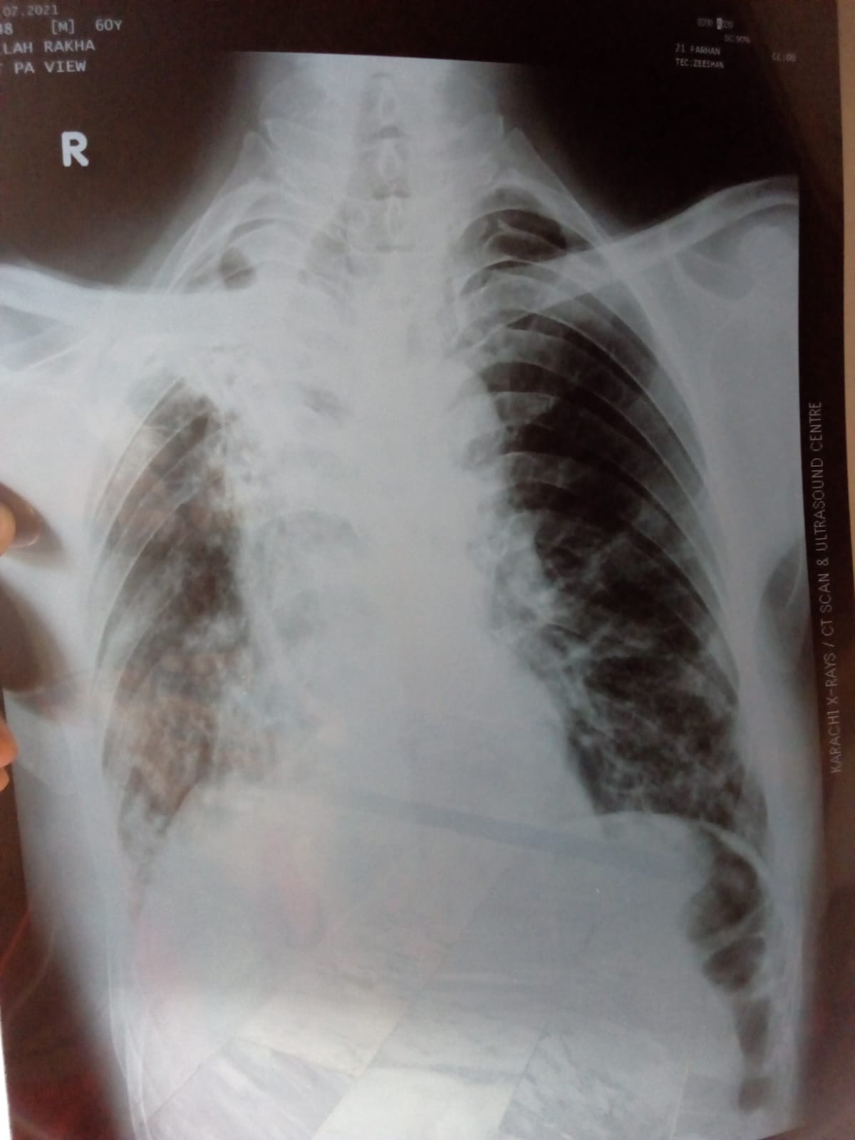
Asking for Father, Male, 60 years old, Karachi

Mere father ko kuch dino s bht zyada khansi h or bht kamzoor horhe h. Chest xray krwaya h, pls dr bata dijeye kya likha hai khair..

General Physician in Lahore - Asst. Prof. Dr. Kashif Aziz Ahmad

Asst. Prof. Dr. Kashif Aziz Ahmad - General Physician

MBBS, FCPS (Medicine) | Lahore

review-stars

6 Positive Reviews

its very serious. take him to a hospital


0

0

Internal Medicine Specialist in Karachi - Dr. Syed Sardar Ali

Dr. Syed Sardar Ali - Internal Medicine Specialist

MBBS, FCPS (Medicine) | Karachi

review-stars

759 Positive Reviews

old healed koch bronchiaiatic changes


0

0

Attach Photo here: