Book Video Consultation

Book Video Consultation

Stay Home

No Waiting in lines

Audio/Video Call

PMC Verified Doctors

Talk to General Physician on Tightness In Chest

person-avatar

Asking for Self, Male, 27 years old, Lahore

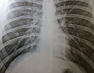
Feeling random tightness in chest from time to time with no significant difficulty in breathing. No cough or fever either. No breathing sound etc. Chest tightness gets better after taking Lexotanil. Chest XRAY is also shown. Doctors please suggest what it shows? Can it be a case of COVID? Does xray show pneumonia?

General Physician in Lahore - Dr. Syed Khalid Hussain

Dr. Syed Khalid Hussain - General Physician

MBBS, DPH | Lahore

review-stars

22 Positive Reviews

simple tightness does not indicate covid-19 and if it is relieved by lexitanil it means this problem is due to anxiety


0

0

Homeopath in Khanewal - Homeopathic Dr. Muhammad Mohsin

Homeopathic Dr. Muhammad Mohsin - Homeopath

DHMS, RHMP | Khanewal

review-stars

294 Positive Reviews

For infertility, male baby (aulad e narina), weak and lazy children, heart burning, lower back pain and all types of complicated and chronic health problems.
Simply click on link below and
Book an appointment for thousand
or
Consult online for only
https://www.marham.pk/doctors/khanewal/homeopath/dr-muhammad-mohsin-shah


0

0

Member of Marham-Forum

asak kindly retake proper xray
prof dr ghulam ali MD


0

0

General Physician in Rawalpindi - Dr. Muhammad Touseef

Dr. Muhammad Touseef - General Physician

MBBS | Rawalpindi

review-stars

2 Positive Reviews

What is your respiratory rate??
Do you have any shortness of breath??
What is your occupation??
Do you smoke??
You should get pulse oximetry done.

Xray findings seem to be of interstitial lung disease but confirmation may need CT but that's not important right now. It is difficult to comment without history and general physical examination.


0

0

Attach Photo here: