Book Video Consultation

Book Video Consultation

Stay Home

No Waiting in lines

Audio/Video Call

PMC Verified Doctors

Talk to Cancer Specialist / Oncologist on Brain Tumour/infection

person-avatar

Asking for Father, Male, 76 years old, Kandahar, Afghanistan

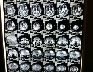
He as been gone through five brain/mental attacks, and he gets weaker after every attack. his left hand and tongue is not working properly, and he cannot walk without our support. His MIR result shows that he has a small brain tumour/brain TB infection, according to Jailani Hospital - Quetta, Pak. He is taking medicine, but no health improvement seen so far.

Your prompt response will be appreciated.

Internal Medicine Specialist in Lahore - Dr. Muhammad Khan

Dr. Muhammad Khan - Internal Medicine Specialist

MBBS(PAK), MCPS(PAK), MCCM(UK), FCCP(USA) | Lahore

review-stars

65 Positive Reviews

Thanx for asking n sorry for your father .he has SOL SPACE OCCUPYING LESION but need further test n full examination to reach the right diagnosis the weakness it will time ,with passage of time he will get better .he just need physiotherapy ,nursing care and good nutrition.......


2

0

Member

Post Owner


Thank you.

Did you see and examine the above MIR pictures that I have attached with my post. If yes, how will you explain it.

I mean do you agree with his doctor who says that he has brain TB/tumour?

8 years ago

Cancer Specialist / Oncologist in Lahore - Assoc. Prof. Dr. Saif Ur Rahman

Assoc. Prof. Dr. Saif Ur Rahman - Cancer Specialist / Oncologist

MBBS, FCPS ( Radio Therapy ) | Lahore

review-stars

25 Positive Reviews

Well
This patient should be operated ..
excision of brain tumor followed by histopathology of the removed tumor to further plan about adjuvant therapy...
--------------------------------------------


1

0

Internal Medicine Specialist in Lahore - Dr. Muhammad Khan

Dr. Muhammad Khan - Internal Medicine Specialist

MBBS(PAK), MCPS(PAK), MCCM(UK), FCCP(USA) | Lahore

review-stars

65 Positive Reviews

Have seen the MRI reports that's why I commented about SOL but it s very difficult to reach on exact diagnosis only on the basis of further history like the duration of symptoms, any fever ,wt loss and also examination .he will definitely need surgery to release the pressure on brain ......


1

0

Member

Post Owner


The first symptom (attack) happened more than one month ago, in mid August, 2017.
He has lost his weight, apparently.
He had coughing for many years, especially at bed time.

8 years ago

Cancer Specialist / Oncologist in Lahore - Dr. Muhammad Arif Ch

Dr. Muhammad Arif Ch - Cancer Specialist / Oncologist

MBBS, Diplomate American Board of Medical Oncology, Diplomate American Board of Hematology, Diplomate American Board of Internal Medicine | Lahore

review-stars

11 Positive Reviews

You said brain tumor or TB. It can't be both .He needs to be seen by
neurosurgeon and have a biopsy of brain lesion.


MA


0

0

Attach Photo here: