Book Video Consultation

Book Video Consultation

Stay Home

No Waiting in lines

Audio/Video Call

PMC Verified Doctors

Talk to Rheumatologist on Arthritis

person-avatar

Asking for Sister, Female, 40 years old, Karachi

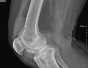
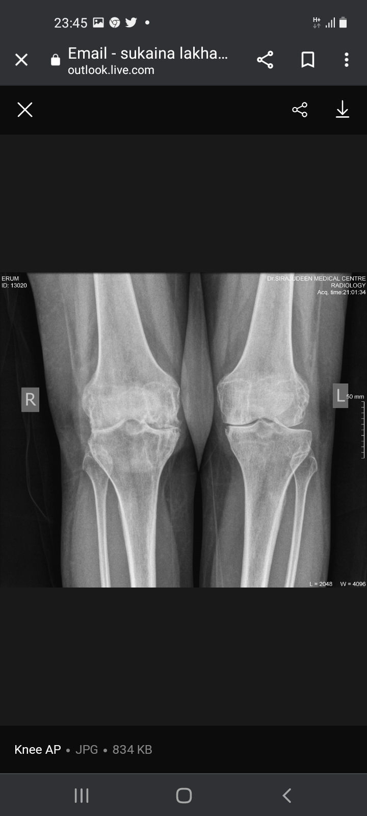
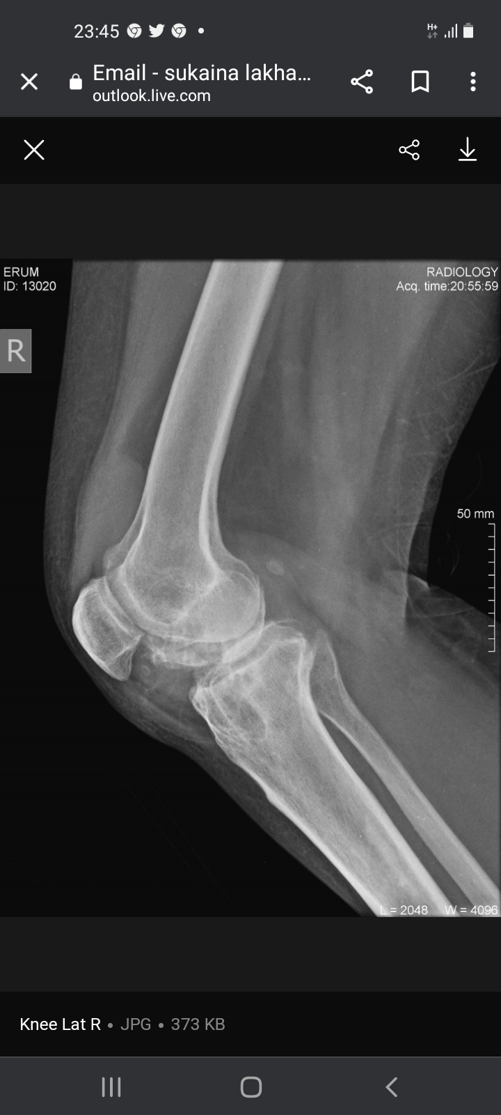
Want to know about infiltration this effective??treatment time taken???which clinic suitable for this process??This is not related to bones its related to joints..

Rheumatologist in Karachi - Assoc. Prof. Dr. Ashar E Ahmed

Assoc. Prof. Dr. Ashar E Ahmed - Rheumatologist

MBBS, Specialty Certificate (Rheumatology), CCT (Rheumatology), MRCP Medicine | Karachi

review-stars

156 Positive Reviews

Not sure which treatment you are referring to. the Xrays show quite a bit of damage for someone who is just 40 yrs old. I suspect the patient may have inflammatory arthritis causing this. for this she should consult a qualified Rheumatologist for specialist treatment


0

0

Member of Marham-Forum

I agree with Dr. Ashar, you are too young to have these x rays. See a rheumatologist soon.


0

0

Attach Photo here: