Book Video Consultation

Book Video Consultation

Stay Home

No Waiting in lines

Audio/Video Call

PMC Verified Doctors

Talk to Rheumatologist on Fracture In Foot

person-avatar

Asking For Someone else, Husband, Male, 27 Years old, Rawalpindi

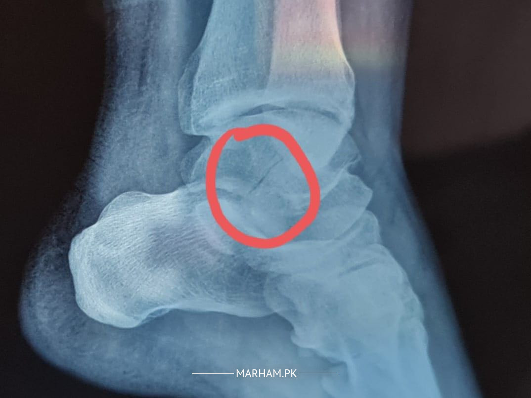
My husband fell down from stairs and had a fracture in his talus bone. The doctors are saying that we need to operate it and insert screws to fix the bone that has been cracked and dislocated. Can it be fixed without operation only with plaster. Xray has been attached kindly advise

General Practitioner in Lahore - Dr. Muhammad Fawad Saeed

Dr. Muhammad Fawad Saeed - General Practitioner

MBBS, MCPS Family medicine (trainee) | Lahore

review-stars

6 Positive Reviews

It's better to get operated, it takes approx 6 to 12 weeks to get heal. It will take more time to heal with plaster and complete bed rest will be advised.


0

0

Rheumatologist in Karachi - Dr. Nauman Afzal Sheikh

Dr. Nauman Afzal Sheikh - Rheumatologist

MBBS, MD | Karachi

review-stars

22 Positive Reviews

You need to consult orthopedic surgeon for authentic opinion thanks


0

0

Attach Photo here: