Book Video Consultation

Book Video Consultation

Stay Home

No Waiting in lines

Audio/Video Call

PMC Verified Doctors

Talk to General Physician on Covid Patient

person-avatar

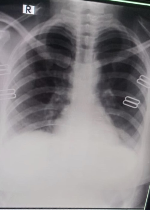
Asking for Brother, Male, 43 years old, Karachi

My brother is covid positive. He is diabetic too. He is having sore throat and body ache now. The attached photo is his chest X-ray. Can you please tell what’s his state now.

General Physician in Karachi - Dr. Rais Burni

Dr. Rais Burni - General Physician

MBBS | Karachi

review-stars

277 Positive Reviews

he is good M A,best advice for ur brother to take my appointment or online appoint...,no matter COVOD + ve,Allah shafi


0

0

General Physician in Kohat - Dr. Hassan Gul

Dr. Hassan Gul - General Physician

MBBS, MCPS (Trainee) | Kohat

review-stars

273 Positive Reviews

what you want to ask?
better consultation online or go to near one doctor clinic


0

0

Member of Marham-Forum

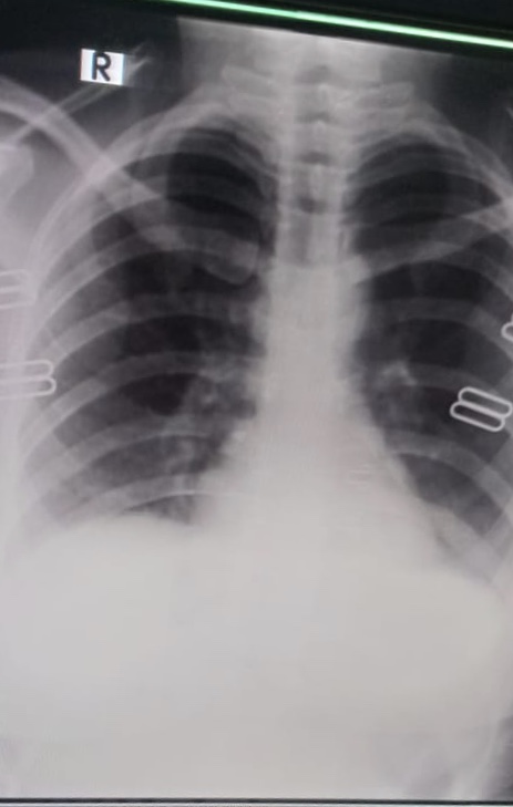
Chest d rat show inflamation in lungs consult online for detailed assessment


0

0

Attach Photo here: