Book Video Consultation

Book Video Consultation

Stay Home

No Waiting in lines

Audio/Video Call

PMC Verified Doctors

Talk to Physiotherapist on Elbow Surgery

person-avatar

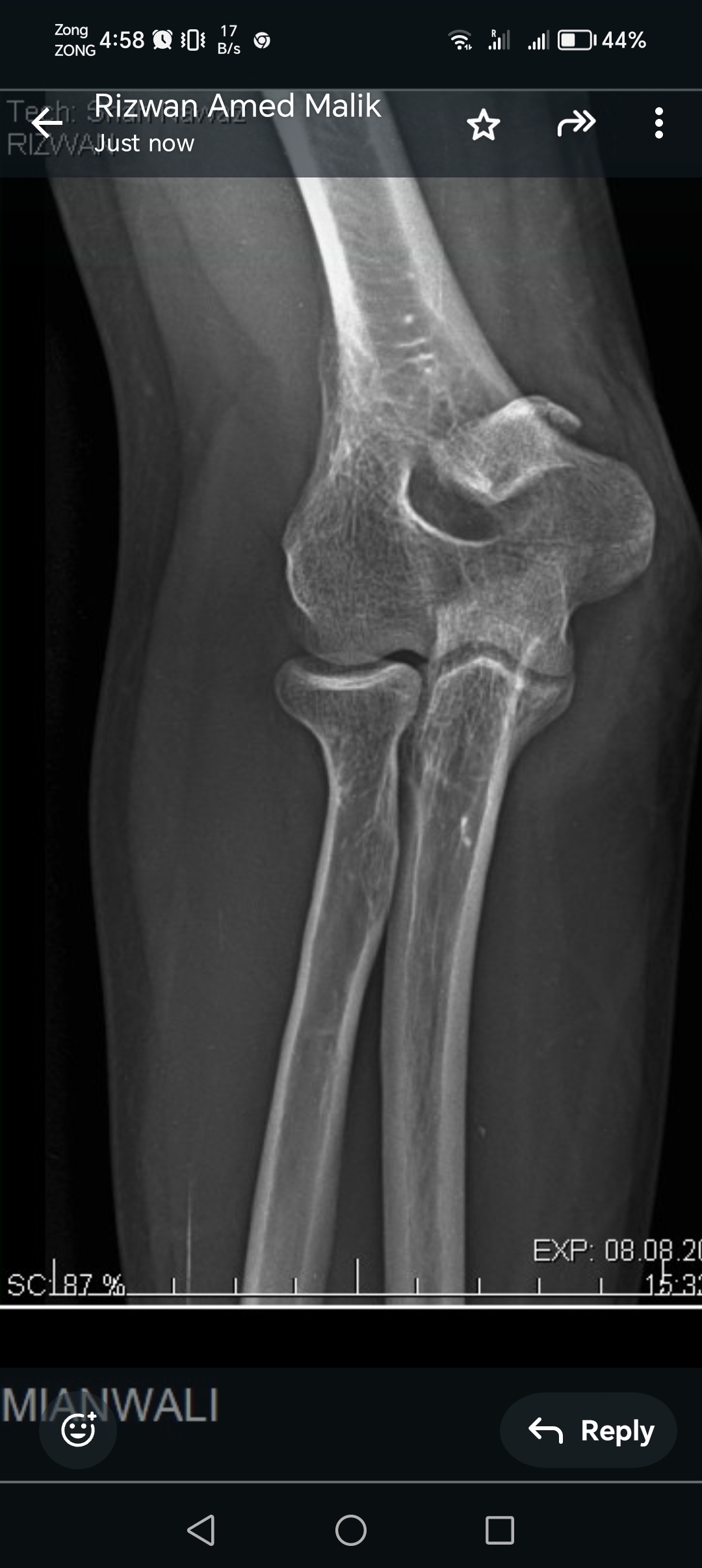
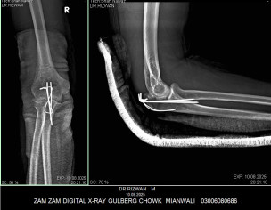
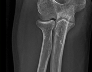
Asking for Husband, Male, 40 years old, Saudia

My husband had elbow surgery on 9th of August. I want to know about physiotherapy. When can we start physiotherapy so he can bend and extend his arm freely.Kindly guide us. If we start now will it effect joint or not. TIA

Physiotherapist in Faisalabad - Dr. Ali Hassan Pt

Dr. Ali Hassan Pt - Physiotherapist

DPT | Faisalabad

review-stars

7 Positive Reviews

visit nearest physio clinic
after assessment make a decision


0

0

Physiotherapist in Faisalabad - Dr. Zain Sikendar

Dr. Zain Sikendar - Physiotherapist

DPT | Faisalabad

review-stars

7 Positive Reviews

Visit our hospital to get assessment of Elbow joint throughly. And them make plan of physiotherapy according to present condition Dr m zain sikendar. (Pain managment and PT specialist)


1

0

Physiotherapist in Gwadar - Dr. Anoshia Rizvi PT

If there is a brace it will allow limited movement but one should keep doing hand , wrist and shoulder movement.Do follow surgeons specific restrictions if any


0

0

Physiotherapist in Lahore - Dr. Nabeel Sattar Pt

visit nearest physiotherapy clinic


0

0

Physiotherapist in Mandi Bahauddin - Dr. Ayesha Asghar

Dr. Ayesha Asghar - Physiotherapist

DPT | Mandi Bahauddin

review-stars

4 Positive Reviews

typically 4 to 6 weeks post op ROMs are allowed by most of surgeons. If your surgeon allows movement at 4 weeks try as much you can tolerate pain. Because the more you wait for pain to get better more it becomes stiff and painful
ASK YOUR SURGEON


0

0

Physiotherapist in Islamabad - Dr. Ayesha Khalique

Dr. Ayesha Khalique - Physiotherapist

DPT, Certified Orthopaedic Manual Therapist | Islamabad

review-stars

8 Positive Reviews

you need to consult physiotherapist he will assess thoroughly ...if he is facing restriction in movemnts. electro plus US therpay will be given ,Manual exercises and strengthening under supervision of qualified physiotherapist


0

0

Physiotherapist in Rahim Yar Khan - Dr. Aymen Nabeel PT

Dr. Aymen Nabeel PT - Physiotherapist

DPT | Rahim Yar Khan

review-stars

1 Positive Reviews

yes u can now start his physiotherapy , visit nearest clinic for proper assessment and treatment plan


0

0

Physiotherapist in Lahore - Dr. Saira Ilyas PT

yes you can start physiotherapy now


0

0

Physiotherapist in Islamabad - Dr. Muhammad Aamir PT

yes, you can start Physiotherapy treatment. physio will decide what needs to be done, what sort of treatment required.


0

0

Physiotherapist in Sargodha - Dr. Faisal Mubeen

Dr. Faisal Mubeen - Physiotherapist

DPT | Sargodha

review-stars

69 Positive Reviews

yes if your surgeon allows you then start taking physiotherapy sessions


0

0

Physiotherapist in Lahore - Dr. Iqra Ali PT

Dr. Iqra Ali PT - Physiotherapist

DPT | Lahore

review-stars

1 Positive Reviews

yes you can physiotherapy now


0

0

Physiotherapist in Wah Cantt - Dr. Naila Malik PT

Dr. Naila Malik PT - Physiotherapist

DPT | Wah Cantt

review-stars

6 Positive Reviews

yes, physiotherapy treatment need to be start after proper assessment. after surgery, gaining ROM asap is necessary.


0

0

Physiotherapist in Arifwala - Dr. Alveena Sattar Pt

Dr. Alveena Sattar Pt - Physiotherapist

DPT (Doctor Of Physical Therapy) | Arifwala

review-stars

8 Positive Reviews

plz srt the Physiotherapy



0

0

Physiotherapist in Arifwala - Dr. Alveena Sattar Pt

Dr. Alveena Sattar Pt - Physiotherapist

DPT (Doctor Of Physical Therapy) | Arifwala

review-stars

8 Positive Reviews

plz srt the Physiotherapy



0

0

Physiotherapist in Multan - Dr. Shiza Mehmood PT

yes, post surgical physiotherapy is best treatment option for your husband.


0

0

Physiotherapist in Gujranwala - Dr. Shahzad Sabir Pt

Dr. Shahzad Sabir Pt - Physiotherapist

BSPT, MSOPT, MASE | Gujranwala

review-stars

7 Positive Reviews

u can start for ROM


0

0

Physiotherapist in Islamabad - Dr. Ismail Khan Tareen PT

Yes! This is the right time to begin gentle physiotherapy so his elbow doesn’t become stiff. physio will start with light bending and straightening exercises without forcing. This will not damage the joint Rather it will help him heal and regain movement. With regular therapy he will slowly get back full use of his arm.



0

0

Clinical Psychologist in Lahore - Rizwan Ali Khan

Rizwan Ali Khan - Clinical Psychologist

| MSc (Psychology) | MS (Clinical Psychology) | Certified (Crucial Conversations) | | Lahore

review-stars

44 Positive Reviews

Visit Hospital for initial assessment I am at your doorstep just press a button video consultation I will give you a list of solutions pick the best one Apply and Enjoy Good Health Forever InshaAllah



0

0

Physiotherapist in Sialkot - Dr. Hira Gillani PT

hey! no post op. rehab will not affect your joint, this rehabilitation is as important as surgery. Get proper assessment from a physiotherapist. Gentle Range of motions of an arm without any force will loosen the stifness around the joint, and when he will be able to do Roms actively without any restrictions then strengthening exercises will prescribe, as muscles are not being used that much, it causes weakness. Get your appointment book asap.


0

0

Member of Marham-Forum

yes can start


0

0

Physiotherapist in Rahim Yar Khan - Dr. Anmar Zaheer

Dr. Anmar Zaheer - Physiotherapist

DPT, MSPT(MSK), MPPTA, HCPC(UK) | Rahim Yar Khan

review-stars

29 Positive Reviews

No it will not effect joint, its essential, start now


0

0

Physiotherapist in Lahore - Dr. Zubair Muddasir

after 1.5 months after surgery you should have to started proper physiotherapy sessions for more information you can visit my clinic punjab cooperative housing society near ghazi road dha Lahore



0

0

Physiotherapist in Sialkot - Dr. Muhammad Arif PT

Dr. Muhammad Arif PT - Physiotherapist

DPT, HCPC (UK ) | Sialkot

review-stars

29 Positive Reviews

Apny Kareebi Experienced Physiotherapist ko approach kryn .. Assessment krvain.Than Treatment Start kryn .
3 phase m exercise krvai jati Hy post OP , Maximum protection phase ,Moderate protection phase and mild protection phase.
pattern yahi rkhna chaye ..
kch mareez ka plan on ki Bone ki healing ko daikhty hovy change b kiya ja skta ..so. visit nearby Physiotherapy clinic


0

0

Physiotherapist in Rawalpindi - Dr. Mahwash Shabbir PT

Dr. Mahwash Shabbir PT - Physiotherapist

DPT | Rawalpindi

review-stars

11 Positive Reviews

No it will not effect joint, you can start his physiotherapy


0

0

Physiotherapist in Sialkot - Dr. Iqra Wahid PT

Dr. Iqra Wahid PT - Physiotherapist

DPT (Doctor of Physical Therapy) | Sialkot

review-stars

7 Positive Reviews

Thank you for your query. After elbow surgery, physiotherapy plays a key role in restoring elbow bending and straightening. In most cases, therapy can be started early, once pain and swelling are controlled.
For safe and effective recovery, a proper physiotherapy assessment is recommended.
You may book an appointment for professional guidance.


0

0

Attach Photo here: